| 广西新闻网 > 首页栏目 > 滚动新闻 > 正文 |
柳州妈妈给1岁女儿洗澡摸到肿块 送医后发现不得了 (2) |
2021年04月04日 08:04 来源:南国早报客户端 编辑:韦幸文 |
|
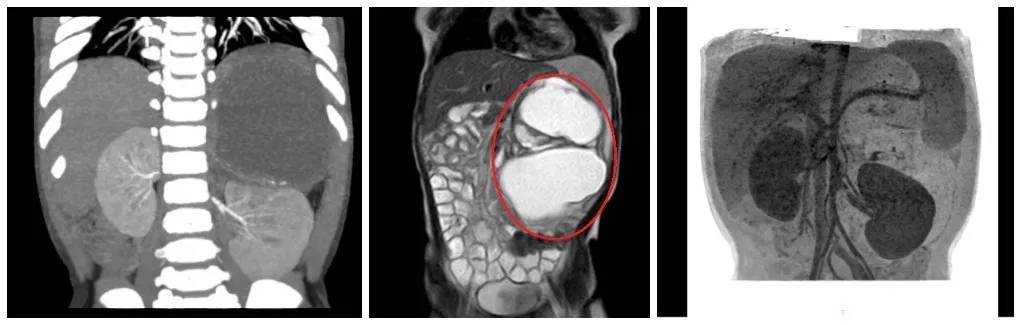
什么是畸胎瘤 畸胎瘤是人体幼稚生殖细胞发生变异而形成的肿瘤,常发生在卵巢,其次是在睾丸,此外还可以发生在纵隔、骶尾部、腹膜后等部位。 畸胎瘤的瘤体内可见皮脂、毛发、骨头、软骨甚至牙齿、眼珠,肌肉、脑等组织。由于这些组织成分与人体正常组织成分十分相似,有点像发育畸形的“胎儿”,故此得名。 “年龄这么小,却在腹膜长了这么大一个畸胎瘤,这样的病例是非常罕见的。”柳州市妇幼保健院小儿外科副主任欧阳昱安慰慧慧妈妈,畸胎瘤良性率为90%,但在发现后应该尽快切除,否则随着年龄的增长,转为恶性的几率会逐渐提高。 “慧慧的肿瘤很大,已经占据了腹腔很多空间,如不及时处理,会压迫邻近脏器。如瘤体压近消化道会出现肠梗阻;推挤膈肌会出现呼吸困难;如与消化道相通时可出现瘘,瘤体还可发生感染引起感染症状。”欧阳昱副主任告诉慧慧妈妈。听了专家的中肯建议后,慧慧妈妈同意尽快给孩子做手术。 ▲ 肿瘤挤压腹腔脏器移位
|
||
|
扫一扫在手机打开当前页
|
| >>更多精彩图集推荐 |
|
|
||||||||||||||||||||||||||||||